転移性脳腫瘍
転移性脳腫瘍とは
がん患者さんの10人に1人の確率で併発し得る「がん細胞」の脳転移病変をさします。からだで言えば、血行路的に肺の隣の臓器が脳となるため、肺がんからの脳転移が最も多く、次いで乳がん、大腸がんという順番となっています。化学療法中あっても、とにかく肺転移を認めた場合には注意して、脳病変の有無確認を行う必要があります。
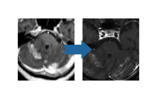
脳MRI(図1)
たとえ「がんの脳転移」と診断を付けられても慌てる必要はございません。転移性脳腫瘍は脳組織を壊すというよりも、大きくなって周りの正常脳を圧迫しながら成長することが特徴です。ですので、小さなものや未症状のものに関しては急に状態を悪くさせることはまずございません。その個数・大きさ・局在(場所)・脳への影響(脳浮腫など)・全身状態を総合的に考えて、しかるべき時期にしっかりと脳治療を行うべきとわれわれは考えています。いまは、脳転移で命を落とす時代ではありません。だからこそ、しっかりと主治医の意見に怖がらずに耳を傾けてください。
ガンマナイフの治療目的
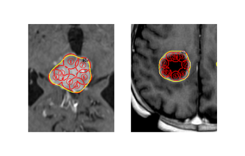
できる限り 正常脳組織を傷めず、腫瘍の成長止めるガンマナイフとは、ガンマ線を腫瘍細胞に集中照射し、細胞内の遺伝子(DNA)を切断するための治療。0.1mmの精度にて、周囲脳組織へ高い放射線量が当たらないよう安全を守ることができる、脳神経外科治療において、最も安全に治癒へ至らしめる可能性が高いのです(図2)。
図2:各球状照射野を腫瘍のみに配置し、脳への過照射を避ける
転移性脳腫瘍に対するガンマナイフ治療計画(図2)
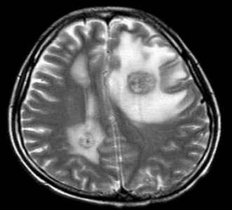
しかし、切り取るわけではないので、あくまでも治療目的はこれ以上大きくさせないこと。とはいえども、縮小し改善するケースは実際多いのです(図3)。
ガンマナイフ著効例(図3)
ガンマナイフの適応
これ以上放って置けないもの(大きさ、浮腫、局在で判断)が好適応!- 2~3センチ程度の大きなもの(手術の代用として行う)。
- 1~2センチ程度だが、すでに脳浮腫を伴っているもの(機能予後を改善)。
- 5ミリ程度以下は治療不要。しかし、機能局在の高い箇所(予防)。
ガンマナイフの効果と合併症
大方コントロール良好。しかし、術後脳浮腫の可能性は考慮する。90%近くで腫瘍の成長を止めることができ、大半が縮小傾向となります。しかし、遅れてガンマナイフによる炎症性変化として、周囲正常脳に一過性の脳浮腫(脳組織間質に水がにじむようになる)を伴うことがあります(10-20%程度)(図4)。 その際に、場所により頭痛・麻痺・てんかんなどの症状を呈することもあり、ステロイド投薬が必要となる場合があります。切らない治療と言えども決して安全とは言い切れません。患者さんの状況により、手術・全脳照射・分子標的薬剤などの選択に考慮が必要となります。
- 頭痛
- てんかん
- 麻痺 など
ステロイド治療必要
ガンマナイフ後
脳浮腫合併例(図4)
ガンマナイフ後の経過観察
定期的に受診を勧めます。緊急時はすぐに連絡を!基本3か月毎の外来受診が必要であり、その都度、CTもしくはMRI検査が必要となります。人によっては治療後1-2週で脳浮腫に伴う症状(頭痛・めまい・麻痺・てんかんなど)が出ることもあります。新規病変の有無や再発の有無も3か月毎にチェックすることでたいていは大事に至りません。安心して確実に受けてください。
将来に亘り不安なく受けてください
最近では腫瘍外部への過照射をなるべくしないように工夫しています。これにより、脳浮腫の発生が防御できる可能性が高くなっています。また、腫瘍内部をより高く照射できる工夫をしています。これにより、腫瘍栄養血管をつぶし細胞壊死にさらに追い込む努力をしています(図2)。
転移性脳腫瘍に対するガンマナイフ治療計画(図2)
