腸閉塞・腸管癒着症
これまではお腹の癒着による繰り返す腸閉塞および腸閉塞類似症状、緊急の腸閉塞などに対して腹腔鏡手術を行う施設は少なく、今でも術後の癒着性腸閉塞に対しては「手術はしない方が良い」と考える外科医が多くいます。当院の黒崎医師は、15年以上も前からこのような病気に対して、積極的に腹腔鏡での手術を行っています。これまでかかわった腸閉塞手術は250件以上にのぼり、日本国内でも有数の経験件数になります。あとでも述べますが、この手術は「定型的」な決まりきった術式といものはなく、その〝コツ″や〝塩梅″は経験によるところも多いのです。
当院で積極的に取り組んでいるものとして、腸管癒着が原因で腸閉塞を繰り返している方に対しての腹腔鏡下腸管癒着剥離術です。そんな方のほとんどは以前腹部手術を受けています。これまでいろんな病院で「手術は無理」「やっても変わらないから、やらない方が良い」「開腹手術なら出来るけど、腹腔鏡では無理」といわれていた多くの患者さんから相談を受けてきました。
そういった患者さんの多くは「怖くて好きな食事もとれない」「何年も厳しい食事制限をしている」「旅先で詰まるのが怖くて旅行には行けない」などといった悩みを持っています。
この腹腔鏡手術はその生活を一気に変えてしまえる可能性を持っています。
どんな腸閉塞も腹腔鏡で手術できますか?
当院で扱う病気は
- 以前行われた腹部手術によって生じた癒着が原因と考えられる腸閉塞(特に何度も繰り返している方)
- 腸に出来た腫瘍や、異物によって腸が塞がれて生じる腸閉塞
- ヘルニア嵌頓(腸がお腹の中でどこかの隙間にはまり込んだ状態)
といったものが主な病気です。
以下のような方は腹腔鏡手術(もしくは手術そのもの)の対象にはならない事も多いのでまずはご確認下さい。
- 全身状態が極端に悪い場合
- 腸管の張りがあまりにも強くお腹を空気で膨らませられない場合で、尚且つ緊急で手術が必要な場合
- 癌細胞がお腹全体に広がったことによる腸閉塞(専門用語で癌性腹膜炎、広範腹膜播種というもの)が原因である場合
- 腸管の動きが悪いことで起こる腸閉塞(例えば長年続くひどい便秘など)
どうして「腹腔鏡手術」なのか
お腹の手術をすると、多かれ少なかれ腸の癒着が起きます。しかし、腹腔鏡手術では腸管がお腹の中にいる時と同じような環境のまま手術することができます。また、お腹のきずも小さいために腸管とお腹のきずとの癒着を最小限にとどめる事が出来ると言われています。
腸閉塞手術や癒着剥離術の場合も同様です。開腹手術で腸閉塞の原因となる癒着剥離術を行うと、また新たな腸閉塞の原因となる癒着を生じる可能性があるわけです。腹腔鏡手術ではその可能性を最小限にすることが出来ます。
もう一つの重要なメリットは、開腹手術ではなかなか見えにくい、体の奥深い(特に骨盤内と言われる下腹部の一番底辺の部位。婦人科や泌尿器科での手術が多い)場所でも、腹腔鏡であれば、カメラを近づける事でより鮮明で詳細な視野で手術が行えます。
また、これまでの多くの研究で、腹腔鏡手術は開腹手術に比べて体力の回復が早い、食事も早く取れる、肺炎が少ない、結果として早く退院が可能、などの多くのメリットが明らかになっています。
どうして他の病院では「開腹手術」になるのか
腹腔鏡手術にはメリットもたくさんありますが、技術的な難しさも伴います。
また、腹腔鏡手術で行うためのノウハウも必要となります。
そのため、その「技術」や「ノウハウ」がない施設ではどうしても開腹手術を選択せざるを得ません。
当院ではこれまでの実績から「技術」や「ノウハウ」の積み重ねがあるため、腹腔鏡での手術が可能な事が多いのです
どのくらいの日数の入院が必要か
当院では「クリニカルパス」というものを導入しています。
それに従えば、癒着剥離だけで終了した場合には術後4日目、腸管を切除した場合には術後6日目に退院となります。もちろん、これらの日数は術後の経過によって伸びる事もあります。
すぐに手術ができますか?
手術に必要な一般的な検査と腸閉塞になっている時のCT写真があれば手術は可能です。他院で良く行っているような、イレウス管という鼻から腸まで届くような長いチューブを入れる事は基本的にはしていません。
ただし、あまりにも腸が張り過ぎている場合には、イレウス管を入れて準備をしたり、大腸がんのような腫瘍による腸閉塞の場合には、その部分にチューブを入れて一度腸の中身を空にしてから手術をすることもあります。
手術をすれば再発はしませんか?
残念ながら再発することはあります。
黒崎医師がこれまで経験したところでは約12%程度の方が再発をしています。ただし、再手術になったのはそのうちの3割(全体の3.6%)程度です。最近の5年間ではいろいろなノウハウを積み重ねて再発はさらに少なく8%となっています。/
これまで手術をせずに何度も再発を繰り返していた方にとっては、かなり再発率を低くできるていると考えています。また、普段の生活を制限していた方にとって、その制限がなくなるのは大きいのではないでしょうか。
手術後の制限はありますか?
基本的には特にありません。食事に関してもです。
この手術は今まで生活に制限があった方のための手術です。それを治すために手術を受けたのに、手術後も制限があるのはおかしいですよね。
腸閉塞以外の症状は良くなりますか?
これまでに腸閉塞にまで至らなくても、腹痛や腹部の違和感、便通異常、食後の吐き気など、腹部手術を行った後に様々な消化器症状が出てくる場合があります。
いろいろな病院で検査や治療を行ったけど、原因がわからなかったり、症状が改善しない場合に「腸の癒着が原因」と言われ、困っている方は相当数いらっしゃいます。
当院では、診察やこれまでの病歴などを十分に聞き、癒着剥離により症状が改善する可能性がある場合に限り手術を行っています(手術では症状が改善しない可能性なども、しっかりとお伝えします)
これまでにこのような症状の方に手術を行い、7割程度の方が症状が改善しています。逆を言えば3割の方は癒着がない、もしくは癒着を剥がしても症状に改善がない事になりますので、手術を受けるかどうかは十分に検討し、納得してから手術を受ける事をお勧めします。
腸閉塞のご相談
当院の外科外来でご相談を受けています。火曜日午前は黒崎が担当しています。
予約優先となりますので、可能な限り予約をお取りください。
もちろんそれ以外の曜日でも診察は可能です(担当は別の医師になります)。ご都合に合わせて良い曜日・時間に受診されてください(他医師の場合予約はなく、受付順の診察となります。ご注意ください
腸閉塞のパターン
実際にはこれらが複雑に組み合わさっていることが多い
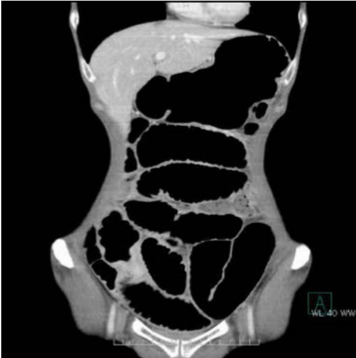
手術前の検査(CT検査)
CT写真の黒い部分が空気です。左側の写真では腸閉塞で太く腫れあがっている腸でおなかの中が充満しています。
別の断面の写真(右側)では癒着により細くなった腸管を認めます(◯)。ここが腸閉塞の原因だとわかります。
実際の手術の様子
動画1
血液や内臓が出てきます。気分の悪くなる方は閲覧しないようにしてください。
腸管がまるでカーテンのようにおなかに癒着しています。腸管同士も広く癒着しています。腸を傷つけないように、主にハサミを使用しながら、いろいろな器具を使用して丁寧に剥離をしていきます。今回は最後に癒着防止スプレーを散布しています。
動画2
血液や内臓が出てきます。気分の悪くなる方は閲覧しないようにしてください。
一見癒着はあまりなさそうですが、おなかの一番深い部分に腸管が癒着していました。このように一部で固定されたような癒着は腸閉塞の原因となるのに見逃される事が多く、「手術したのに良くならない」という原因になっています。
動画3
血液や内臓が出てきます。気分の悪くなる方は閲覧しないようにしてください。
脂肪の“バンド”で腸管が締め付けられています(絞扼という状態です)。腸管が腐りかかっており一刻も早い手術が必要な状態です。このような腸閉塞は腹腔鏡手術の良い適応で、一度手術をすれば再発することも少ない病態です。
動画4
血液や内臓が出てきます。気分の悪くなる方は閲覧しないようにしてください。
放射線治療後の癒着による腸閉塞を繰り返している方です。非常に腸管が脆くもっとも難しい部類の腸閉塞手術となります。放射線治療後の方には手術をしない病院もありますが、当院ではこれまでのノウハウから可能な限り手術を行い、良好な成績を収めています。この方は腸管を切除する事で繰り返す腸閉塞から解放されました。
