脳神経外科

脳神経外科では、主に脳や脊髄に関わる疾患を診療します。脳血管障害(脳梗塞、脳出血、くも膜下出血など)、脳腫瘍、頭部外傷に対する急性期治療を中心として24時間体制で診療にあたっています。
24時間体制で救急医療にも対応し、患者中心のきめ細やかな治療を提供しています。予約なしの方も随時受け付けております。急な症状やご心配なことがございましたら、お気軽にご来院ください。
特長
当院では、脳卒中(脳梗塞、脳出血、くも膜下出血など)や脳腫瘍、頭部外傷、水頭症、機能外科(てんかん、三叉神経痛、ジストニアなど)、脊椎疾患などの脳神経外科領域全般の疾患を扱っており、急性期医療から高度な手術や、内視鏡手術、血管内治療、ガンマナイフ治療まで幅広く対応しています。最新の手術機器や術中モニタリングを駆使し、安全かつ確実な治療を行っています。
診療方針
専門医によるきめ細かい診察や最新のMRIやCT検査を用いた精密検査が行われ、疾患や患者の病状に応じて適切な治療方針を決定します。そして、患者とその家族に十分な説明(インフォームド・コンセント)をして納得いただいた上で治療を行うことを重視しています。
対象とする疾患
- 脳血管障害(脳梗塞、脳出血、クモ膜下出血、脳動静脈奇形、もやもや病、頚動脈狭窄症、海綿状血管腫など)
- 脳腫瘍(神経膠腫、悪性リンパ腫、髄膜腫、下垂体腫瘍、聴神経腫瘍、転移性脳腫瘍など)
- 頭部外傷(急性硬膜下/外血腫、脳挫傷、頭蓋骨骨折、慢性硬膜下血腫など)
- 機能外科(てんかん、パーキンソン病、不随意運動、三叉神経痛、顔面痙攣など)、水頭症(正常圧水頭症、中脳水道狭窄症など)
- 脊椎・脊髄疾患(変形性脊椎症、椎間板ヘルニアなど)
- くも膜下出血
-
急性期治療の重要なポイントは、破裂した動脈瘤の再破裂をできるだけ早く防止することです。再破裂は生命予後を著しく悪化させるため、発症後早期に治療をするのが一般的です。急性期手術としては開頭クリッピング術とコイル塞栓術の2つの方法があります。開頭クリッピング術は、全身麻酔で頭皮を切開し、頭蓋骨の一部を開けて顕微鏡下で動脈瘤に到達し、クリップで動脈瘤の根元をはさみ血流を遮断する手術です。これにより再破裂を防ぎます。手術は直接血管にアクセスするため確実な処置が可能です。コイル塞栓術は足の付け根の動脈からカテーテルを挿入し、脳内の破裂動脈瘤内に細いマイクロカテーテルを通してプラチナ製のコイルを詰める方法です。これにより動脈瘤を閉塞し再破裂を防止します。侵襲が少なく入院期間が短い場合も多いですが、動脈瘤の形状や場所により適応が異なります。
術前
術後
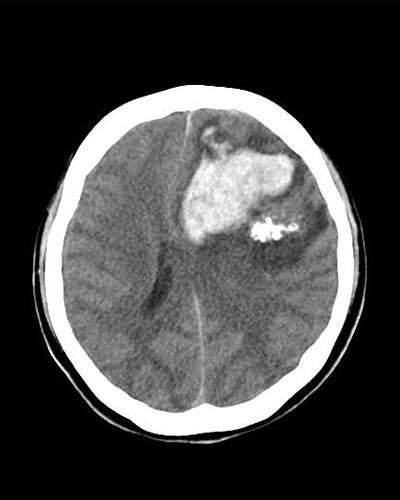
- 脳梗塞
-
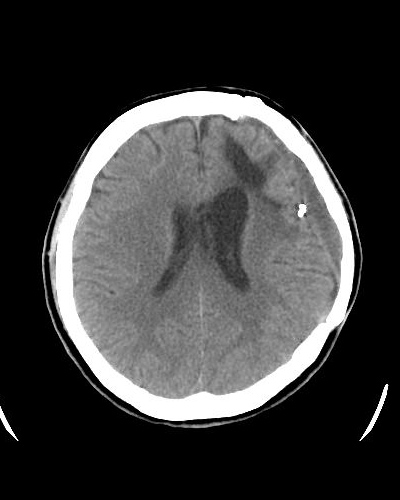
脳梗塞の血栓回収療法は、カテーテルで詰まった血のかたまりを取り除き、途絶えた脳の血流を早く再開させることで、重い後遺症や命の危険を減らす治療です。 開頭手術を行わず、足の付け根などから細い管を挿入する低侵襲な方法で、薬の点滴治療(tPA静注)と組み合わせることで、重い麻痺や言語障害などの後遺症を大きく減らせる可能性があります。当院では24時間体制で救急対応しており、専門医が迅速に治療を行います。
血栓回収術前(脳底動脈閉塞)
血栓回収術後
- もやもや病
-
もやもや病の脳梗塞や出血リスク軽減のための血行再建術は、浅側頭動脈と中大脳動脈を直接つなぐ直接バイパス術を中心に、筋膜や筋肉を用いた間接バイパス術を組み合わせ、個々の患者に合わせた最適な術式が選択されます。これにより脳血流の改善と脳虚血や出血の予防を目指します。
バイパス術
術後MRA
- 脳動静脈奇形
-
脳動静脈奇形(AVM)の脳外科治療には主に3つの方法があります。1)開頭手術による外科的摘出、2)血管内治療(カテーテルを用いた塞栓術)、3)定位放射線治療(ガンマナイフなど)です。AVMの大きさや部位、患者の状態によってこれらの治療を単独もしくは組み合わせて行います。
左前頭葉AVM
術前
術後
- 内頚動脈狭窄
-
頚動脈狭窄症の治療には主に手術治療(頚動脈内膜剥離術)と血管内治療(頚動脈ステント留置術)があります。頚動脈内膜剥離術(CEA)は首の皮膚を切開し、頚動脈を露出させて血流を一時的に遮断した後、狭窄の原因となる動脈硬化のコレステロール塊(プラーク)を動脈の内膜ごと剥離・除去します。頚動脈ステント留置術は足の付け根の動脈からカテーテルを挿入し、狭窄部にステント(金属製の網状筒)を留置して血管の内径を拡げます。
CEA術前
CEA術後
- 神経内視鏡治療
-
脳神経外科における内視鏡治療は、「神経内視鏡手術」と呼ばれ、開頭手術の侵襲を小さくするために開発された方法です。細い内視鏡で脳室や病変内を観察しながら、手術器具を挿入して治療を行います。特に、水頭症の第三脳室底開窓術や、脳内出血の血腫除去、下垂体腫瘍に対する経鼻内視鏡手術などが代表的です。内視鏡により脳の深部や複雑な場所でも視野が広く、細かい操作が可能になり、体への負担が少ない治療が実現しています。
- 脳腫瘍
-
脳腫瘍の開頭手術は、全身麻酔下で頭皮を切開し頭蓋骨を開けて、顕微鏡やナビゲーション装置を用いて脳腫瘍をできる限り安全に摘出する手術です。癒着している腫瘍と周囲の神経や血管を慎重に剥離しながら摘出を進めます。術中は電気生理学的検査や神経モニタリングで脳機能をチェックしつつ、安全に最大限の摘出を目指します。ナビゲーションや内視鏡などの技術を用いて低侵襲化や機能温存を検討しています。手術の進め方は腫瘍の種類(良性か悪性)、場所、大きさ、患者の状態により最適化され、機能温存を重視して部分摘出にとどまるケースもあります。
第四脳室髄膜腫術前
術後
機能手術
脳神経外科の機能手術は、主にパーキンソン病、ジストニア、てんかん、顔面けいれんなどの治療に用いられており、DBS(脳深部刺激療法)、定位的凝固術などがあります。脳の深部に細い電極を入れて電気刺激を与えたり、熱やエネルギーにより凝固・破壊して異常な神経活動を抑えます。頭の骨に小さな穴を開けて電極を精密に挿入し、手術中は意識下で脳機能を確認しながら行うこともあります。最小限の組織損傷で神経機能異常にアプローチする技術です。
ガンマナイフ治療
ガンマナイフ治療は、脳神経外科で用いられる放射線による高精度の定位治療法で、脳腫瘍や血管奇形、三叉神経痛などの疾患に対して非侵襲的に集中的に放射線を照射して病変を治療します。外科手術に比べて身体の負担が非常に少なく、入院期間も短いことが特徴です。
高気圧酸素治療
診療実績
2024年
| 入院患者数 | 1002 |
|---|---|
| 手術症例 | 413 |
| 脳血管障害 | 84 |
| 脳腫瘍 | 14 |
| 外傷 | 72 |
| 水頭症 | 19 |
| 機能手術 | 174 |
| 血管内治療 | 35 |
| ガンマナイフ | 542 |
関連ページ
休診代診
外来担当医表
脳神経外科
■ は女性医師です。
| 月 | 火 | 水 | 木 | 金 | 土 | |
|---|---|---|---|---|---|---|
| 午前 |
猪野 裕通 清水 篤 脊椎外科 |
平 孝臣 ジストニア 大西 叡和 |
吉野 義一 立林 恭子 ボツリヌス |
渡邉 丈博 |
小原 琢磨 〜11:30 |
立林 恭子 ボツリヌス 第2 9:30~ 自治医科大学担当医 脊椎外科 第2 埼玉医科大学担当医 脊椎・脊髄外科 |
| 午後 |
清水 篤 脊椎外科 |
− |
猪野 裕通 13:30~ 平 孝臣 ジストニア 13:30~ |
猪野 裕通 13:30~15:00 |
井上 雄貴 |
埼玉医科大学担当医 交代制 |
担当医表(PDF版のダウンロード)
担当医師
院長
猪野 裕通
脳神経外科
| 資格・認定など |
|
|---|
ガンマナイフ治療科部長
小原 琢磨
脳神経外科
最後まであきらめず治療します。
出身 岩手| 略歴 |
|
|---|---|
| 資格・認定など |
|
脳神経外科部長
渡邉 丈博
脳神経外科
| 資格・認定など |
|
|---|
井上 雄貴
脳神経外科
| 資格・認定など |
|
|---|
大西 叡和
脳神経外科
非常勤医師
平 孝臣
脳神経外科
| 専門・得意分野 | 機能的脳神経外科、難治性疼痛・痙縮(けいしゅく)・ジストニアなどの不随意運動の手術治療 |
|---|---|
| 略歴 |
|
| 資格・認定など |
|
非常勤医師
吉野 義一
脳神経外科
| 資格・認定など |
|
|---|
