巨大肝のう胞
肝嚢胞とは
肝嚢胞は、肝臓の中に液体がたまる袋状の病変で、良性腫瘍の一種です。ほとんどの場合、無症状で経過し、治療を必要としないことがほとんどです。
巨大肝嚢胞の症状
通常、肝嚢胞は自覚症状がありませんが、大きくなると、腹部の圧迫感や膨満感、痛み、食後の不快感、吐き気などの症状を引き起こすことがあります。
肝嚢胞の原因と検査
肝嚢胞の明確な原因は不明ですが、先天的なものや後天的なもの(外傷、炎症など)があるとされています。検査には超音波検査やCT、MRIが用いられ、他の病気との鑑別を行います。
また、中身の一部を抜いてそのその成分や悪性細胞の有無をチェックします。
肝嚢胞の治療
症状がない場合や嚢胞が小さい場合は、経過観察が基本です。しかし、嚢胞が大きくなり、症状が出ている場合や、がんなどの悪性腫瘍との鑑別が難しい場合には治療の対象となります。
肝嚢胞の手術適応
以下のような場合には、手術を検討します。
- 嚢胞が大きくなり、腹痛や腹部の圧迫感などの症状が出ている場合
- 嚢胞が破裂する可能性がある場合
- 悪性腫瘍(がん)との鑑別が困難な場合
当院の肝嚢胞手術:腹腔鏡下肝嚢胞開窓術
当院では、良性がほぼ確定した巨大肝嚢胞の治療として、腹腔鏡下肝嚢胞開窓術を積極的に行っています。
この手術は、お腹に数カ所、小さな穴を開けて行うため、従来の開腹手術に比べて身体への負担が少なく、術後の回復が早いのが大きな特徴です。手術では、腹腔鏡で嚢胞の位置を確認し、嚢胞の壁の一部を切除して中の液体を排出させます。これにより、嚢胞が再発するのを防ぎ、症状を改善します。
患者様の状態に応じて、最適な治療法を提案いたしますので、肝嚢胞でお悩みの方は、当院にご相談ください。
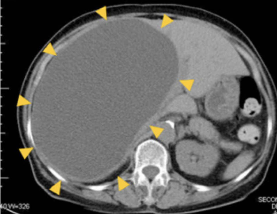
実際の巨大肝嚢胞の手術
左図の ▲ に囲まれた部分が肝のう胞です。
これくらい大きくなるとおなかが張って苦しくなったり、違和感、満腹感などが出てきます。
この中身の一部を抜いて、その成分や悪性細胞が存在しないかなどをチェックします。
悪性細胞がいなかった事から開窓術(天蓋切除術)を行う事にしました。
手術の様子
血液や内臓が出てきます。気分の悪くなる方は閲覧しないようにしてください。
時に、切り取ったからの縁ではなく、肝臓そのものから胆汁が漏れてくることがあります。
その場合にも漏れ出てくる部位をしっかりと縫って穴を塞ぎます。
そうすることで、この手術の最大の合併症である胆汁の漏れを防ぐ事が出来ます。
