大腸憩室炎
大腸憩室炎とは?
大腸憩室炎は、大腸の壁にできた「憩室」と呼ばれる小さなくぼみに便などが入り込み、炎症を引き起こす病気です。憩室は加齢や食生活の変化により形成されやすく、近年日本でも増加傾向にある疾患です。
大腸憩室炎の症状
- 腹痛(特に左下腹部や右下腹部)
- 発熱
- 吐き気、嘔吐
- 腹部膨満感
- 下痢や便秘などの便通異常
- 膀胱と腸の間にトンネル(膀胱瘻)ができる場合や、糞尿(尿に便が混ざる)・気尿(尿におならが混ざる)がみられることもあります
大腸憩室炎の原因
憩室に便がたまり、細菌が増殖することで炎症が起こると考えられています。肉中心の食生活や食物繊維の不足、便秘などが発症のリスクとなります。
大腸憩室炎の検査
- 問診・触診
- 血液検査による炎症マーカーの確認
- CT検査や腹部超音波検査による炎症範囲・憩室の確認
- 大腸造影検査による憩室の範囲、トンネルや漏れの存在、腸の長さの確認
- 合併症の有無もあわせて診断
大腸憩室炎の治療
軽症の場合は抗生物質や食事制限で対処可能ですが、炎症を繰り返すと重篤な合併症(腸が狭くなる、腸に穴が開く、おなかに膿がたまる、膀胱とトンネルを作るなど)を引き起こすことがあります。薬物療法で症状が改善しても憩室自体は消失しないため、再発リスクが残ります。
そのような場合には手術療法も有効な手段となります。
手術適応:繰り返す炎症を根本から解決するために
- 再発を繰り返す場合や合併症がある場合は、手術が有効
- 炎症を起こしやすい腸の一部を切除し、根本的な治療を目指す
- 手術により再発・合併症リスクを低減できる
炎症の再発に怯えることなく、健康的な生活を取り戻すための最も確実な選択肢です。再発を繰り返して合併症が重くなる前に、手術による根本的な治療を検討することが、あなたの未来の健康を守る鍵となります。
当院の大腸憩室炎手術について
- 身体への負担が少なく、傷口が小さい・術後の痛みが少ない・回復が早い腹腔鏡手術を選択
- 患者ごとに異なる状態に合わせた術式を選択し、大腸肛門病学会指導医を中心に経験豊富な外科医が対応
- 術後の生活の質を重視し、人工肛門(ストーマ)を可能な限り回避
ご相談の際は、患者ごとの状態に合わせた最適な治療計画をご案内いたします。
大腸肛門病学会専門医・指導医の黒崎医師を中心に外科専門医の資格をもった外科チームで治療に当たります。
当院および外科チームでの大腸憩室炎に対する手術件数は正確な数は出ていません。
黒崎医師のプロフィールに記載された「大腸切除術(良性)」の手術のうち1/3~1/2(40~60件)は大腸憩室症(憩室炎、憩室出血)手術に当たると考えられます。
実際の大腸憩室炎手術
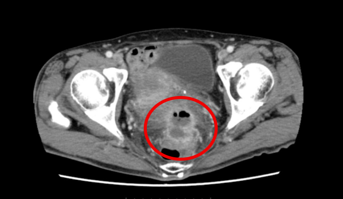
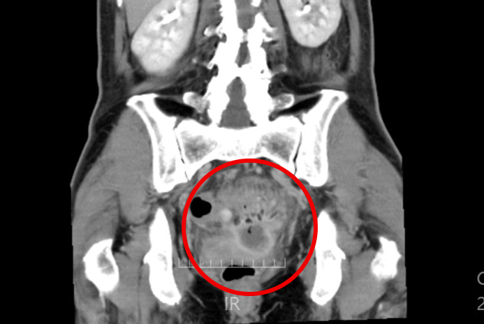
発熱と便通異常で当院へ紹介された50代女性のケースです。
S状結腸という場所にたくさんの泡のような房が見えます。
また、それぞれの腸管の境目がはっきりせず、お互いの癒着していることが予想されます
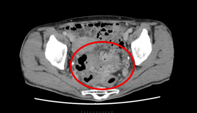
別の高さの画像を見ると、白い壁に囲まれた膿のたまりが確認できます。ちょうど子宮、S状結腸、直腸という臓器に囲まれています。
正面から見ても同じような膿のたまりが確認できます。
血液や内臓が出てきます。気分の悪くなる方は閲覧しないようにしてください。
